Научные исследования показывают, что избыточный вес оказывает прямое воздействие на структуру и функции головного мозга. Чем больше объем талии у человека, тем меньше становится объем ключевых мозговых структур, что может влиять на когнитивные способности.
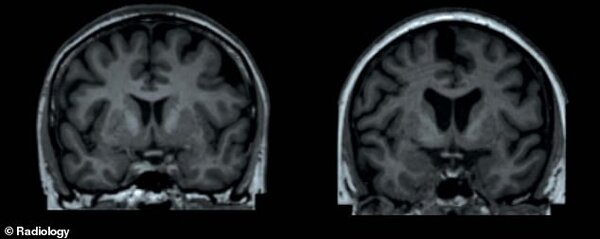
На изображении представлено наглядное сравнение: слева — МРТ мозга женщины с нормальным весом, справа — женщины с избыточной массой тела. Фото: dailymail.co.uk
Масштабное исследование было проведено специалистами Медицинского центра Лейденского университета в Нидерландах под руководством доктора Илоны Деккерс, опытного рентгенолога. Ученые проанализировали данные магнитно-резонансной томографии 12 087 участников из британского биобанка.
"Наши данные демонстрируют четкую взаимосвязь: более высокий процент жира в организме ассоциируется с уменьшением объемов важных структур мозга, включая области серого вещества, расположенные в центральных отделах", — поясняет доктор Деккерс.Чтобы понять значимость этих изменений, важно знать, что серое вещество содержит основную массу нейронов — клеток, отвечающих за обработку информации. Белое вещество состоит из нервных волокон, которые обеспечивают связь между различными отделами мозга, передавая электрические импульсы.
Результаты работы, опубликованные в авторитетном журнале Radiology, подтвердили, что индекс массы тела участников напрямую коррелирует с различиями в архитектуре их мозга.
На этом снимке представлено сравнение МРТ двух женщин одного возраста (65 лет). Слева — мозг женщины с содержанием жира 13%, справа — с содержанием жира 49%. Исследователи отмечают, что на правом снимке визуально заметно уменьшение объемов подкорковых структур серого вещества. Фото: dailymail.co.uk
Анализ выявил, что у людей с повышенным общим содержанием жира в организме наблюдается не только меньше серого вещества, но и повреждения структур, связанных с "системой вознаграждения" мозга и двигательными функциями. Эти структурные изменения, по мнению ученых, могут создавать своеобразный "порочный круг", затрудняя для людей с ожирением контроль над весом и формирование здоровых привычек.
- У мужчин: увеличение общего процента жира на 5,5% приводит к уменьшению объема серого вещества на 3162 мм³ и сокращению объема шаровидной палочки (одной из подкорковых структур) на 27 мм³.
- У женщин: увеличение общего содержания жира на 6,6% связано с уменьшением объема шаровидной палочки на 11,2 мм³.
Широкий контекст: ожирение и здоровье мозга
Полученные данные согласуются с результатами других научных работ, изучающих влияние ожирения на нервную систему.
- Сканирование мозга пациентов с ожирением показывает, что у пожилых людей с избыточным весом наблюдается более выраженная деградация клеток мозга, что может быть фактором риска развития нейродегенеративных заболеваний.
- Ожирение также ассоциируется со снижением концентрации внимания, ухудшением скорости обработки информации и замедлением психомоторных реакций.
Таким образом, поддержание здорового веса важно не только для физического состояния, но и для долгосрочного сохранения когнитивных функций и структурной целостности мозга.

