В медицинской практике встречаются случаи, которые заставляют пересмотреть наши представления о возможностях человеческого организма. Одним из таких примеров является полная регенерация щитовидной железы после хирургического вмешательства.
Клинический случай: восстановление через 17 лет
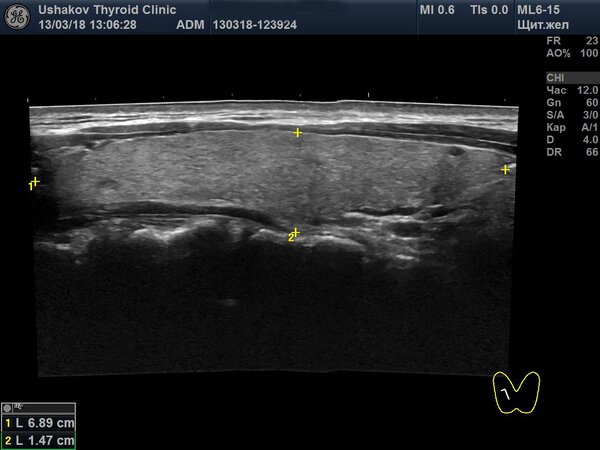
На этой неделе в нашей клинике был проведен осмотр пациентки, которая в 2001 году, в возрасте 13 лет, перенесла обширную операцию на щитовидной железе — так называемую 90% субтотальную субфасциальную резекцию. Это означает, что хирурги удалили почти всю ткань органа. Спустя 17 лет, во время ультразвукового исследования, мы с удивлением обнаружили, что все анатомические части щитовидной железы полностью восстановились, и визуальных признаков проведенной операции практически не осталось. Единственным напоминанием о хирургическом вмешательстве был тонкий, едва заметный рубец на коже.
Механизм восстановления
Как же стало возможным такое полное восстановление? Во время операции хирург оставил примерно 10% ткани железы, преимущественно в тех областях, где проходят важные кровеносные сосуды и нервы. Пациентка в послеоперационный период не принимала заместительную гормональную терапию. Оставшаяся ткань, благодаря активной стимуляции со стороны нервной системы, запустила мощные процессы регенерации. В результате щитовидная железа не только восстановила свой первоначальный объем, но и полностью вернула свою анатомическую форму.
Возрастные особенности регенерации
Безусловно, в молодом возрасте, особенно в период активного роста и развития организма, все восстановительные процессы протекают с максимальной интенсивностью. Однако способность к регенерации сохраняется и в более поздние периоды жизни, например, до 40 лет. Восстановление доли железы после операции в разной степени — это реальность. Ключевыми условиями для этого процесса являются наличие остаточной ткани, из которой может происходить рост, и сохранение естественных путей (нервной и сосудистой регуляции) для такого восстановления.
Регенерация на протяжении всей жизни
Важно понимать, что процессы обновления и восстановления в ткани щитовидной железы происходят постоянно, на протяжении всей жизни человека — в 50, 60, 70, 80, 90 и даже 100 лет. Конечно, с возрастом интенсивность этих процессов закономерно снижается. Например, в 60 лет полное восстановление долей после удаления 90% ткани маловероятно. Тем не менее, обновление ткани, например, при хронических аутоиммунных процессах (таких как тиреоидит Хашимото), — это абсолютно реальное и наблюдаемое явление.
Описанный случай — не единичный. Подобные наблюдения уже встречались в нашей практике. Все они четко указывают на важную закономерность: щитовидная железа обладает значительным, а в некоторых случаях и удивительным потенциалом к самовосстановлению.
