Добрый день, уважаемые читатели.
В этой статье мы подробно разберем международную систему классификации злокачественных опухолей TNM и объясним, что означают стадии рака в медицинской практике.
В современном мире онкологические заболевания диагностируются все чаще. Это связано как с реальным ростом заболеваемости, так и с появлением новых, более точных методов диагностики, позволяющих выявлять патологии на ранних этапах.
Практически каждый слышал, что у рака существуют стадии. Именно от правильно определенной стадии зависит прогноз для пациента, выбор оптимальной тактики лечения и предполагаемые сроки выздоровления.
Современные методы визуализации, такие как компьютерная (КТ) и магнитно-резонансная томография (МРТ), играют ключевую роль в диагностике. Они помогают оценить размеры первичной опухоли и обнаружить метастазы еще до начала лечения.
Зачем нужно определять стадию рака?
Ответ на этот вопрос фундаментален: для каждой стадии конкретного типа опухоли разработаны свои, наиболее эффективные протоколы лечения. Например, на одних стадиях лечение начинают с химио- или лучевой терапии, чтобы уменьшить опухоль перед операцией, а на других — сразу показано хирургическое вмешательство. Правильно определенная стадия — это основа для персонализированного и максимально эффективного плана борьбы с болезнью.
Основа классификации: система TNM
Международная классификация злокачественных опухолей TNM проста, логична и универсальна. Она основана на оценке трех ключевых параметров, которые обозначаются латинскими буквами T, N и M.
T (Tumor — опухоль)
Этот параметр описывает размер и местное распространение первичной опухоли. Для каждого органа существуют свои критерии оценки. Цифровой индекс рядом с буквой T уточняет характеристики:
- T0 — первичная опухоль не обнаружена.
- Tx — оценить размеры опухоли не представляется возможным.
- T1–T4 — обозначают увеличение размера и/или степени прорастания опухоли в окружающие ткани (чем выше цифра, тем больше и агрессивнее опухоль). Конкретные критерии определяются по данным УЗИ, КТ, эндоскопии и других исследований.
N (Nodus — узел)
Параметр N показывает, распространились ли раковые клетки в регионарные (ближайшие к опухоли) лимфатические узлы.
- Nx — состояние лимфоузлов оценить невозможно.
- N0 — метастазов в регионарных лимфоузлах нет.
- N1–N3 — указывают на наличие, количество и расположение пораженных лимфоузлов (чем выше цифра, тем обширнее поражение).
M (Metastasis — метастазы)
Самый критичный параметр, указывающий на наличие отдаленных метастазов — вторичных очагов опухоли в других органах (например, в печени, легких, костях).
- Mx — наличие отдаленных метастазов не исследовалось или неизвестно.
- M0 — отдаленные метастазы отсутствуют.
- M1 — обнаружены отдаленные метастазы. Их наличие всегда указывает на самую тяжелую, IV стадию заболевания.
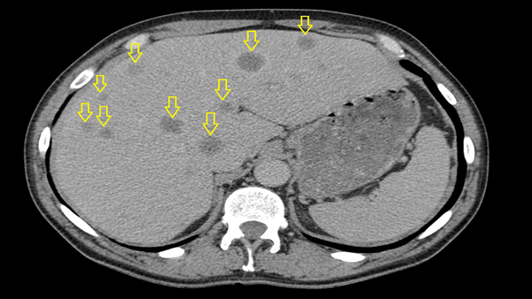
На снимке компьютерной томографии органов брюшной полости стрелками показаны множественные метастазы в печень (M1). Фото с сайта lechimkozhy.ru.
От TNM к стадиям заболевания
Комбинация значений T, N и M позволяет врачам определить общую стадию рака — от I (самой ранней и локализованной) до IV (распространенной с отдаленными метастазами). Важно понимать, что современная онкология не стоит на месте. Даже на поздних стадиях существуют эффективные методы лечения (таргетная терапия, иммунотерапия, современные схемы химиотерапии), которые могут существенно продлить жизнь пациента и улучшить ее качество.
Важное предупреждение: вся информация в этой статье носит ознакомительный характер. Диагностику и лечение онкологических заболеваний должен проводить только квалифицированный врач-онколог.
Надеемся, материал был для вас полезным и информативным.
Если статья помогла вам разобраться в теме, поддержите автора лайком — это лучшая оценка труда.
Другие полезные публикации:
Какие продукты содержат больше всего полезных для сердца микроэлементов?
Как отличить почечные отеки от сердечных
Нужно ли регулярно чистить кишечник от токсинов и каловых камней?

