Понятие "регенерация" практически отсутствует в современных учебниках по эндокринологии, как российских, так и зарубежных. Это приводит к тому, что многие врачи не осведомлены о способности ткани щитовидной железы к самовосстановлению после различных повреждений. На самом деле, этот орган обладает значительным регенеративным потенциалом, что является ключевым фактором для выздоровления пациентов.
Пробел в медицинском образовании
Несмотря на наличие в России профильных кафедр и научных институтов эндокринологии, информация о процессах восстановления щитовидной железы в них не освещается. Более того, отсутствие знаний зашло так далеко, что многие практикующие эндокринологи открыто отрицают саму возможность регенерации. Они часто убеждают пациентов в неизлечимости их состояния и необходимости пожизненной заместительной гормональной терапии, что не всегда соответствует действительности.
Ультразвуковое исследование (УЗИ) является важным инструментом, позволяющим наглядно оценить динамику и степень восстановления ткани железы. В конце статьи приведены конкретные примеры таких изменений.
Реальность, скрытая за невежеством
Способность щитовидной железы к регенерации — это не миф, а объективная реальность, подтверждённый биологический факт. Отрицание этого явления может указывать либо на недостаточную компетентность специалиста, либо на сознательное сокрытие информации.
Если руководитель научной эндокринологической кафедры не знает о возможности регенерации — это проявление невежества. Если же он знает, но умалчивает, вводя в заблуждение коллег и студентов, — это уже дезинформация, несовместимая с принципами науки. К сожалению, многие врачи, доверяя авторитетам и ограничиваясь стандартными протоколами, не стремятся к самостоятельному изучению новых данных, что и приводит к распространению устаревших взглядов.
Мы предлагаем читателям задать своему лечащему врачу прямой вопрос о возможности регенерации щитовидной железы и поделиться ответом. Это поможет оценить масштаб проблемы и, возможно, пробудит профессиональный интерес к данной теме.
Научная база: регенерация — это доказано
Простого запроса "thyroid regeneration" в научных поисковых системах Google Scholar или PubMed достаточно, чтобы найти десятки исследований, посвящённых восстановлению щитовидной железы. Вот некоторые ключевые работы:
1. Chen C.Y. et al., "Regenerative Potentials of the Murine Thyroid..." (2009). Это исследование, подробно разобранное в материалах нашей Клиники, демонстрирует регенеративный потенциал железы в условиях экспериментального аутоиммунного тиреоидита.
2. Ozaki T. et al., "Thyroid Regeneration: Characterization of Clear Cells..." (2012). Учёные детально изучили процесс восстановления после частичного удаления доли железы. Были выявлены гистологические, иммунологические и генетические особенности активного регенерационного процесса.
На представленном рисунке из статьи видны зоны активного восстановления — множественные микрофолликулы, которые формируются из стволовых клеток и затем развиваются в полноценные фолликулы. Исследование показало, что регенерация может протекать интенсивно, опровергая старые теории о крайне медленном обновлении ткани (всего 5-10 раз за жизнь). При создании благоприятных условий восстановление небольших повреждённых участков может занимать месяцы, а не годы.
3. Kimura S., "Thyroid Regeneration: How Stem Cells Play a Role?" (2014). Работа раскрывает ключевую роль стволовых клеток в процессах восстановления железы.
4. Iwadate M. et al., "An in vivo model for thyroid regeneration and folliculogenesis" (2018). Авторы подтверждают, что в здоровой железе обновление идёт медленно, но при повреждении регенеративная активность резко возрастает.
Клиническое подтверждение: восстановление — это возможно
Практика нашей Клиницы неоднократно демонстрировала реальные случаи восстановления ткани щитовидной железы благодаря процессам регенерации. Это подтверждается динамикой ультразвуковых исследований и нормализацией показателей в анализах крови.
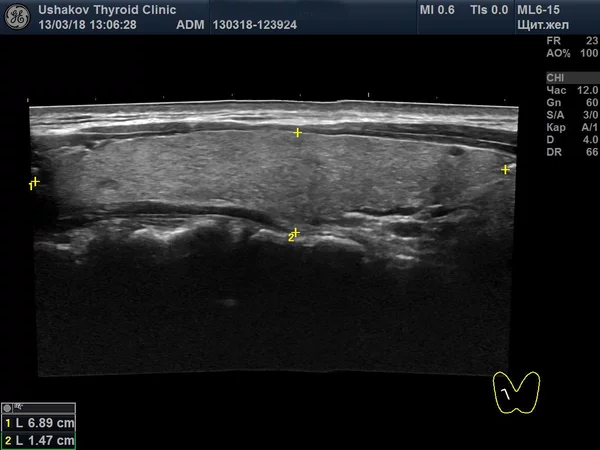
Пример: излечение при аутоиммунном тиреоидите
На первом снимке тёмные участки — это зоны, где ткань железы замещена лимфоидной (иммунной) тканью. Важно заметить светлые островки внутри этих зон — это и есть начавшиеся очаги регенерации.
Снимок, сделанный через 10 месяцев, показывает значительное восстановление здоровой ткани железы.
Другой поразительный пример: почти полное восстановление доли железы у 13-летней пациентки, после того как хирург оставил лишь 10% её исходного объёма. Молодой возраст и сохранённый небольшой участок ткани позволили запустить мощный регенеративный процесс.
Выводы
1. Регенерация щитовидной железы — это абсолютная реальность и основной механизм её восстановления.
2. Этот процесс может протекать очень активно, особенно при создании оптимальных условий для органа.
3. Признание и внедрение знаний о регенерации в клиническую практику — необходимое условие для развития эндокринологии как честной, основанной на фактах науки, нацеленной на истинное выздоровление пациентов, а не просто на пожизненную компенсацию симптомов.
Клиника щитовидной железы доктора А.В. Ушакова желает здоровья всем нашим читателям!
ВАЖНО: для выбора методов диагностики и лечения необходима консультация компетентного специалиста.
Если материал был полезен, поддержите наш канал лайком. Подписывайтесь и делитесь статьёй.

