Современная эндокринология получила новые убедительные доказательства способности щитовидной железы к восстановлению. Китайские учёные провели экспериментальное исследование, в ходе которого детально изучили процессы регенерации тиреоидной ткани после локального повреждения методом электроабляции.
Пробел в современных медицинских знаниях
Интересно, что в большинстве современных учебников и руководств по эндокринологии полностью отсутствует упоминание о возможности регенерации щитовидной железы. Термин "регенерация" в этом контексте просто не используется, что создаёт у врачей ошибочное представление о невозможности восстановления органа. Однако передовые научные работы последовательно доказывают обратное: сегодня учёные не просто допускают, а абсолютно уверены в способности клеток щитовидной железы к обновлению. Основное внимание исследователей сосредоточено на изучении механизмов, этапов и сроков этого процесса.
Новое исследование на животной модели
В августе 2019 года в авторитетном «Журнале Эндокринологии» (Endocr J.) была опубликована статья группы китайских исследователей под руководством Li S. В своей работе «Повреждение возвратного гортанного нерва и регенерация щитовидной железы после необратимой электропорационной абляции большей части щитовидной железы — экспериментальное исследование на модели свиньи» учёные представили важные данные.
Справка: Абляция — это медицинская процедура локального разрушения ("выжигания") ткани.
Для эксперимента была выбрана модель свиньи, поскольку размеры органа и свойства тканей у этих животных максимально приближены к человеческим. Это давно известно медицине, о чём свидетельствует успешное применение, например, свиного инсулина.
Ультразвуковой снимок из исследования. На сером фоне ткани щитовидной железы чётко видна тёмная гипоэхогенная зона — область повреждения после процедуры электроабляции.
Динамика восстановления ткани
Наблюдения показали, что активные восстановительные процессы в области повреждения начинаются уже в первые 2–3 недели. Клетки и фолликулы щитовидной железы претерпевают сложные преобразования. Удивительно, но всего через два месяца после вмешательства исследователи зафиксировали практически полное восстановление тиреоидной ткани на месте воздействия.
Клиническое значение малоинвазивных методик
Такие методы, как лазерная или электрическая абляция, широко применяются в клинической практике для точечного разрушения узловых образований в щитовидной железе. Их ключевое преимущество — возможность устранить патологический очаг, максимально сохранив здоровую ткань самого органа. Ранее наш канал уже рассказывал об успешном опыте китайских коллег по применению лазерной абляции для лечения злокачественных узелков.
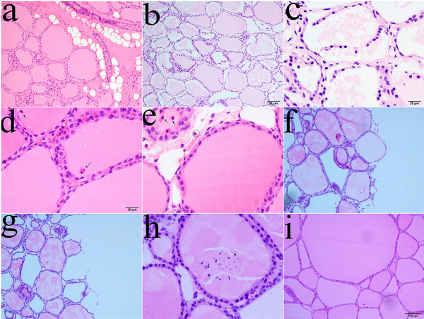
Гистологический снимок из статьи. На изображении наглядно показана поэтапная регенерация клеток и фолликулов щитовидной железы в течение недель и месяцев после процедуры.
ВЫВОД
- Регенерация щитовидной железы — это научно доказанный факт, а не гипотеза.
- Восстановление ткани происходит в относительно короткие сроки (порядка нескольких месяцев).
- Малоинвазивные операции (лазерная или электроабляция) должны рассматриваться как предпочтительные варианты лечения, поскольку они позволяют сохранить функциональность органа.
Клиника Щитовидной железы доктора А.В. Ушакова желает здоровья всем нашим читателям!
ВАЖНО: Для выбора методов диагностики и лечения необходимо проконсультироваться с компетентным специалистом.
Если вам была полезна эта информация — подписывайтесь на наш канал. Делитесь ссылкой на статью с друзьями и знакомыми.

