Первый случай в истории. 17-летняя девушка обратилась к врачам с болью в животе. Она была уверенна, что проблема в пищеварении. Но медики поставили другой диагноз.
Живот увеличился в размерах под странным углом за последние 5 лет. После еды девушка чувствовала дискомфорт. Чувство сытости появлялось, хотя пациентка едва ела. Выводы врачей оказались шокирующими.
Всю свою жизнь в животе был ее близнец
Согласно статье в British Medical Journal, врачи считают, что это случай стал первым в истории, когда девушка прожила со своим частично развитым близнецом внутри так долго.
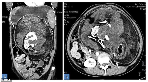
Медики обнаружили в животе пациентки странную опухоль. Томография показала наличие разных тканей. В том числе кости - в частности, позвонки, ребра и «длинные кости», согласно отчету врачей. А также волосы, несколько зубов и «структуры, напоминающие конечности».
Это тератома - форма доброкачественной опухоли, которая состоит из нескольких типов тканей.
Медики подозревают, что опухоль 17-летней девушки была ее близнецом, который начал развиваться рядом с ней в утробе матери, но стал частью ее тела, когда не смог развиваться дальше.
Это явление называется «плод в плоде». Один случай на 500000 новорожденных. Более того, это обычно наблюдается у мальчиков. И диагностируется сразу.
Пациентка из Индии стала самой взрослой в истории с таким диагнозом. Она единственная в мире женщина, которая прожила 17 лет с близнецом внутри. Все эти годы он находился в забрюшинном пространстве (от диафрагмы до малого таза). У близнецов было общее кровоснабжение. Размер неразвитого плода составил 30 × 16 × 10 см.
«Я очень переживала из-за опухоли. После операции я чувствую себя очень хорошо, мучительная боль исчезла. Мои родители тоже очень счастливы».
Источник: Daily Mail, BMJ

